REQUEST APPOINTMENT
469-453-6168
Home
About
Our Practice
Dr. Ken Jenn Hwan Chen
Dr. Daisy Ju-Ying Lin
Services
Family Dentistry
Cosmetic Dentistry
Exam & Cleaning
Teeth Whitening
Dental Crowns
Dental Implants
Dental Fillings
Dentures
Smile Gallery
Reviews
New Patients
Contact
Smile Gallery
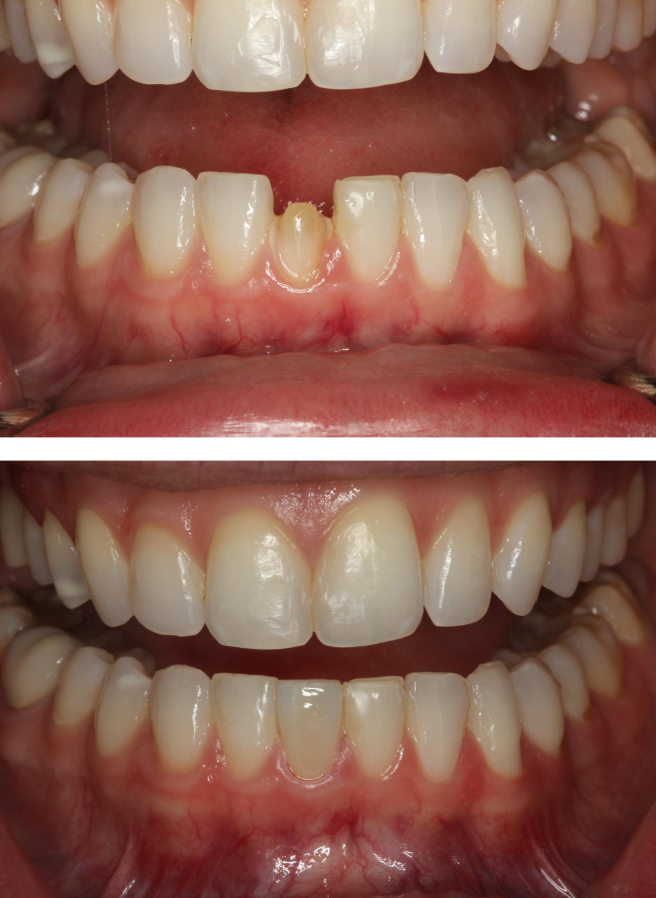
Close front teeth space (diastima)​
Veneer​
Implant Crown
Implant Crown
3 Unit Bridge, Front Teeth
Single Crown
Implant 3 Unit Bridge
Back Teeth Crowns
Custom Shaded Denture
Customized Dentures
Single Veneer
Veneer
Custom Shaded Denture